- 当前位置: 首页 > 烤瓷牙
- 烤瓷牙价钱是多少?
- 来源:康贝佳口腔 发布时间:2020-07-03 15:38
烤瓷牙其实分为很多种类,不同种类的烤瓷牙就会有不同的价格,康贝佳为您提供多种价格的烤瓷牙,让您可以根据自身的情况随意挑选牙齿修复方案。那么烤瓷牙价格是多少呢?下面请专业的矫正医生回答您吧!
烤瓷牙的种类及价格
一般来说烤瓷牙分为三类:非贵金属烤瓷牙、贵金属烤瓷牙和全瓷牙。它们的制作材料都是不一样的,功能也不一样,有的价格会高一些,有的价格会更加亲民一些,下面我们就来具体分析一下:
1、生物合金烤瓷牙
选用镍铬合金、钴铬合金、钛合金等金属合金作为内冠,在其表面用与自然牙色相似的瓷粉恢复牙外形后,在真空烤瓷炉内烤制成烤瓷牙冠。
优点:价格经济,适合人群广。
缺点:与口腔组织的相容性差,容易出现金属过敏、牙龈黑线等问题。
推荐:生物合金烤瓷牙
2、贵金属烤瓷牙
选用黄金、银、钯等贵重金属制作内冠,然后在其表面用与自然牙色相似的瓷粉恢复牙外形,在真空烤瓷炉内烤制成烤瓷牙冠。
优点:相比普通烤瓷牙,与天然牙颜色接近,具有生物相容性,对人体无害。
缺点:有磁性,不透X光,不能做核磁共振,影响以后的医学检查。
推荐:黄金烤瓷牙、银钯合金烤瓷牙
3、全瓷牙
全瓷牙由于都是由瓷性材料组成的,具有美观、良好的半透明性,与牙釉质近似的折光性,因此牙齿美容效果接近天然牙。瓷性材料与人体生物相容性比较好,不会刺激口腔组织,并能好地防止了牙龈变色,是在外观和性能上更优越于金属烤瓷牙的品种。

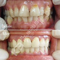
康贝佳烤瓷牙—升级美牙,更自然
- 上一篇:烤瓷牙价格
- 下一篇:一颗烤瓷牙的价格一般是多少呢





















生物合金烤瓷牙怎么样?【在线咨询】
贵金属烤瓷牙价格是多少?
推荐:全瓷牙、数字美学设计

点击查看更多案例







