• 康贝佳首页
  • 欢迎来到康贝佳官方网站,专注口腔健康,笑出精彩人生!咨询热线:400-025-0505
  • 关于我们:

当前位置: 首页 > 牙齿矫正

牙齿矫正

Dental implants

咨询电话:
400-025-0505

QQ咨询 在线咨询
孩子牙齿有点地包天,要矫正吗?
来源:康贝佳口腔 发布时间:2018-06-19 11:09

  有些家长认为小孩地包天长大后会自行矫正,所以不需要治疗,其实这是个错误的想法。孩子牙齿地包天要及时去医院进行治疗,因为在儿童时期是矫正牙齿的佳时期,不能延误病情。那么究竟孩子地包天牙齿该怎么进行治疗呢?

孩子牙齿有点地包天,要矫正吗?

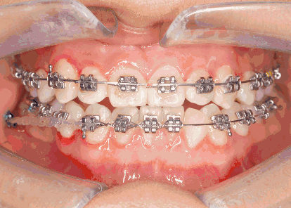
  地包天牙齿矫正的方法

  1、美容修复矫正: 如果不想做长时间的牙套矫正烤瓷牙治疗是较好的选择。此方法有多种材料,比如贵金属,非贵金属,全瓷牙等材料。可根据自己牙齿或经济情况选择适合自己的材料。在做烤瓷牙之前要做个根管治疗,在电脑数控根据牙齿大小设计个烤瓷冠。这样大功告成,很适合成年后又急于改善的人群。

  2、普通矫正: 所谓普通矫正就是我们俗称的“钢牙”将黏合剂把刚托贴附在牙齿上面,在用钢丝把钢托和牙齿相链接。此种方法个月到院复诊次,医生会根据个人的牙齿矫正情况对钢丝逐渐加力。正畸结束后不代表就可以了,为了让牙齿可以保持整齐要佩戴1年左右时间的保持器。

  3、隐形矫正: 隐形矫正是佩戴在牙齿舌侧面在不知不觉中把牙齿和五官面部进行改善。不耽误工作学习对外形也没有影响。因为隐形矫正可以采用电脑数控设计加工,制作出来的矫正器小巧,准确异物感更小。

  康贝佳口腔医生提醒: 愉悦的生活离不开牙齿的健康,关爱牙齿健康,为了更美好的明天,我们起爱护自己的牙齿。康贝佳祝您早日拥有口健康的牙齿!